知禾致力于为早期药物发现与临床前研究提供高质量、定制化的重组抗体表达解决方案。我们依托自主优化且经实验验证的哺乳动物细胞表达平台(HEK293 与 CHO细胞系),结合严格的生产质控与灵活的定制服务,为药物研发的加速提供可靠支撑。
除了常规全长抗体的高效表达,我们还具备灵活生产多种特殊形式重组抗体的能力,包括Fab片段、ScFv、纳米抗体(VHH)、Fc融合蛋白以及嵌合抗体等,以满足客户多样化的研发需求。
服务优势与特色
服务流程与周期
服务流程 | 服务内容 | 周期 |
载体构建 | l 克隆至表达载体 l 测序 l 质粒制备 | 1-2周 |
表达及纯化 | l 瞬时转染HEK293/CHO 细胞 l 抗体纯化 l 精细纯化(按需) | 1-2周 |
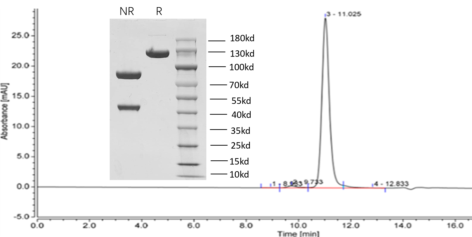
QC分析 | l SDS-PAGE及定量分析 l SEC-HPLC分析 (可选) l 内毒素分析 (可选) l Octet, ELISA等 (可选) | 2-3天 |
结果交付 | l 纯化抗体 l 质量检测报告(COA) l 克隆于商业表达载体质粒 (可选) |
案例展示


